ÚLTIMAS NOTICIAS
- Participación en el XXI Congreso Panamericano de Flebología y Linfología en Lima
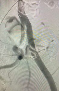
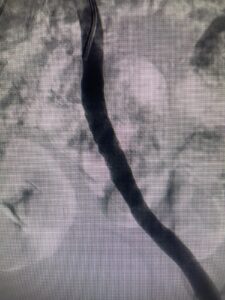
- Nuevo caso de endofibrosis ilíaca externa en ciclista profesional
- Participación como docente en el Taller Online sobre Úlceras Venosas 2026
Un poco sobre mí…
Soy el Dr. Javier Álvarez Fernández, actualmente soy el presidente del Capitulo Español de Flebología y Linfología (CEFyL) y Coordinador de Cirugía Vascular de la Asociación Española de Cirujanos (AEC). A partir de 2004 estoy vinculado al departamento de Cirugía de la Universidad de Oviedo como profesor universitario colaborador de honor y miembro de la Real Academia de Medicina del Principado de Asturias. En en mis consultas trato varices tronculares con todos los métodos actuales que gozan de evidencia científica (esclerosis, radiofrecuencia, laser, pegamentos, CHIVA…), arañas vasculares , úlceras, edemas y todo tipo de patologías vasculares. Me puedes encontrar en Gijón, Avilés y Oviedo. Si quieres una cita, pincha aquí.
Mi número de colegiado es: 3333 0423
¿Qué es la Angiología y Cirugía Vascular?
La Angiología y Cirugía Vascular es la especialidad médico-quirúrgica que se ocupa del estudio de los vasos de los sistemas circulatorio y linfático, incluyendo la anatomía de los vasos sanguíneos (vena, arteria y capilares). Su objetivo es la prevención, diagnóstico, tratamiento y seguimiento de las patologías que afectan a los vasos arteriales, venosos y linfáticos.
Las patologías vasculares más prevalentes son las relacionadas con la insuficiencia venosa, concretamente las varices, sin embargo, existen otras enfermedades relacionadas con la especialidad que van aumentando su presencia entre la población.
Conoce algunas de mis especialidades en cirugía vascular
Mi experiencia de más de 25 años, me ha permitido ayudar a pacientes con enfermedades dentro de este ámbito. Las patologías vasculares que trato en Avilés y Gijón son:
- Tratamiento de varices
- Tratamiento de arañas vasculares
- Edemas
- Úlceras venosas
- Arteroesclerosis
- Estenosis carotídea
- Aneurisma de aorta
Si quieres realizarte un tratamiento vascular, pide cita y te realizamos un estudio completo.




