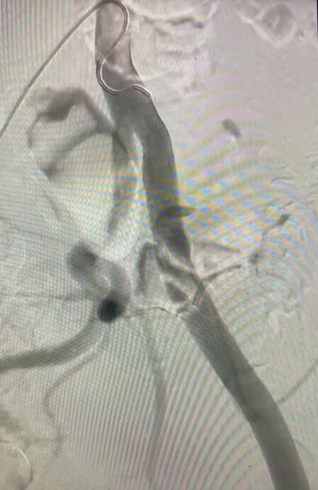
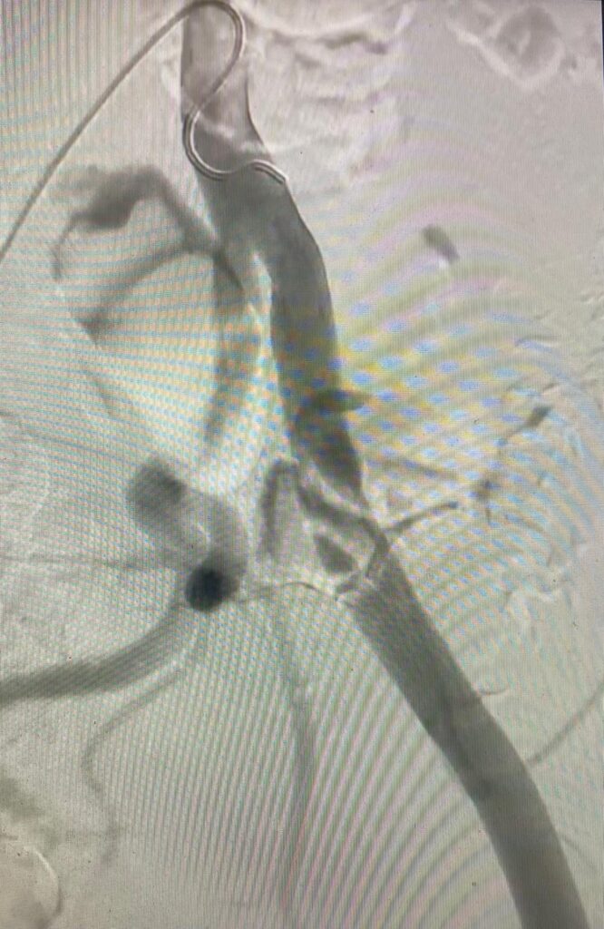
Recientemente he intervenido un nuevo caso de endofibrosis de la arteria ilíaca externa en un ciclista profesional, con afectación del sector ilíaco izquierdo. Se trata de una patología poco frecuente, característica de deportistas de resistencia, que se manifiesta mediante claudicación durante el ejercicio en ausencia de enfermedad aterosclerótica clásica.
El procedimiento se llevó a cabo en el Hospital Quirónsalud A Coruña, en un entorno de máxima especialización y con la colaboración del Dr. Ignacio Lojo, cuya experiencia y apoyo han sido fundamentales. Asimismo, quiero destacar la valiosa participación del Dr. Javier Barreiro y del Dr. Alejandro Moro, que contribuyeron al correcto desarrollo de la intervención.
La recuperación funcional del paciente estará supervisada por el Dr. Benjamín Fernández, médico deportivo con quien mantengo una estrecha colaboración desde el primer caso que abordamos en 1996, lo que aporta una continuidad asistencial especialmente relevante en este tipo de pacientes de alto rendimiento.
Este nuevo caso se suma a la experiencia acumulada en el tratamiento de esta patología, reforzando la importancia de un diagnóstico preciso y un abordaje multidisciplinar para garantizar los mejores resultados clínicos y la vuelta segura a la actividad deportiva.
